Theo các bác sĩ chuyên khoa bệnh xã hội cho biết thì bệnh lậu là một trong những bệnh xã hội nguy hiểm chỉ xếp sau HIV. Bệnh nếu không...
Bệnh lậu cầu do vi khuẩn Neisseria gonorrhoeae hay còn gọi là song cầu khuẩn lậu gây ra, chúng có tốc độ sinh sôi và lây lan rất nhanh. Vi...
Bệnh lậu là bệnh lây truyền qua đường tình dục nên cả nam giới và nữ giới đều có nguy cơ lây nhiễm bệnh, trong đó tỷ lệ nam giới...
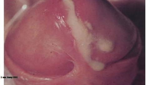
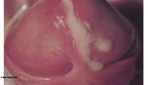
Theo các bác sỹ phòng khám đa khoa Quốc Tế Cộng Đồng thì nam giới bị bệnh lậu thường có triệu chứng như: thường xuyên đi tiểu buốt, tiểu dắt,...
Lậu là bệnh xã hội lây truyền qua đường tình dục (STD), gây ra bởi vi khuẩn gram âm Neisseria gonorrhoeae, có thể lây nhiễm cho cả nam và nữ. ...
Bệnh lậu mạn tính là do người bệnh khi mắc bệnh lậu ở giai đoạn cấp tính nhưng không được phát hiện và điều trị sớm nên bệnh chuyển biến...
Lậu là bệnh lây truyền qua đường tình dục, do song cầu khuẩn lậu (có tên là Neisseria gonorrhoeae) gây ra. Hầu hết các trường hợp nam giới mắc bệnh...
Bệnh lậu do một loại vi khuẩn tên Neisseria gonorrhoeae gây ra. Đây là một bệnh xã hội phổ biến và lây nhiễm chủ yếu qua đường tình dục....
Bệnh lậu là một trong những bệnh xã hội nguy hiểm do song cầu lậu gây ra hiện nay. Bệnh chủ yếu lây nhiễm qua đường quan hệ tình dục...
Khi vi khuẩn lậu xâm nhập vào cơ thể người sẽ có thời gian ủ bệnh từ 3 - 7 ngày sẽ phát ra những triệu chứng đầu tiên. Tùy...





